ESPECIALISTAS EN REHABILITACIÓN ORAL Y ESTÉTICA DENTAL
DRA. KATHERINE ORTIZ
Contáctanos para asesorarte
Acepto la Política de privacidad.
DRA. KATHERINE ORTIZ
Odontóloga de la Universidad Santo Tomás, Rehabilitación Oral y Estética Dental Unicieo.
La Rehabilitación Oral se encarga de determinar los problemas dentales del paciente e indica el tratamiento a seguir. Su objetivo es devolver la función y estética.
En el proceso intervienen varias disciplinas de la odontología apoyadas en la tecnología de punta disponible. Se debe trabajar de la mano de la periodoncia, endodoncia, implantología y ortodoncia.
Someterse a una Rehabilitación Oral completa tendrá varios beneficios. Se recuperan los dientes ausentes permitiendo masticar normalmente. Asimismo, mejora el aspecto, calidad de vida y la funcionabilidad de la boca. Todo esto trae el incremento de la seguridad y autoestima del paciente.
Nos especializamos en realizar las sonrisas más encantadoras en todos nuestros pacientes.
SERVICIOS ODONTOLÓGICOS

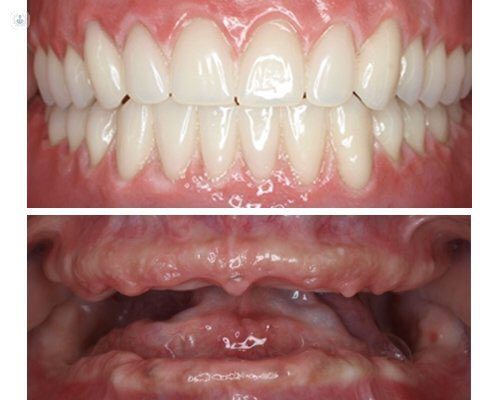
La rehabilitación oral es una disciplina de la odontología especializada en la restauración de las piezas dentales para devolverle su función estética y armonía, se compone de un tratamiento integral a partir de prótesis fijas, removibles, oclusión e implantes dentales. Todo este proceso se realiza a partir de un diagnóstico sobre el tipo de lesión del paciente y cuál es el procedimiento pertinente.
La rehabilitación oral va de la mano de otras especialidades dentales como la ortodoncia, periodoncia, endodoncia… A pesar de que son tratamientos complejos, la rehabilitación oral completa implica arreglar todos los dientes de arriba (maxilar), los de abajo (mandíbula), o todos los dientes de la boca (ambas arcadas dentarias).
Este tratamiento se indica para bocas en muy mal estado de salud oral (por caries o pérdida de múltiples dientes) o en bruxómanos (apretadores) porque el desgaste de los dientes es grande.
Prótesis utilizadas en la rehabilitación oral
- Prótesis Removibles
- Prótesis Fijas
- Prótesis Totales
- Prótesis sobre implantes
¿Cuándo se necesita a un rehabilitador oral?
Siempre que los tratamientos a realizar excedan las competencias de un odontólogo general u especialistas de otras áreas.
¿En qué casos se debe recurrir a una rehabilitación oral?
- Cuando es necesario diagnosticar, planificar y realizar tratamientos extensos.
- Cuando se quiera coordinar diferentes especialidades al abordar un caso.
Ventajas de la rehabilitación oral completa sobre implantes
- La anestesia es igual a la que se utiliza con cualquier otro procedimiento dental.
- Con un número reducido de implantes se consigue proporcionar al paciente una prótesis fija reduciendo costos y tiempo de tratamiento.

El diseño de sonrisa es un procedimiento dental que crea artísticamente sonrisas con armonía, estética y función, mediante un conjunto de procedimientos cambiamos color, tamaño, forma y la posición de los dientes para otorgarle a la sonrisa una apariencia más armónica, puede hacer maravillas para restaurar completamente tu salud dental y apariencia, independientemente del estado original de tus dientes existentes. Los avances tecnológicos en la odontología han permitido que actualmente cualquier persona pueda tener dientes perfectos, pues es posible remediar problemas dentales y devolver la confianza al sonreír, hablar y comer.
Beneficios del Diseño de Sonrisa
Con el transcurso de los años, nuestra sonrisa cambia debido al desgaste, bruxismo, fracturas, decoloración, entre otros. Estos problemas pueden suceder gradualmente cambiando nuestra apariencia drásticamente luego de tiempo. De ser el caso clínico necesario, puedes recuperar tu sonrisa o mejorarla en función con la estética dental.

La odontología estética es una especialidad que además de buscar soluciones a problemas de salud bucodental, también cuida la armonía de la boca.
Esta rama de la odontología se encarga de embellecer tu sonrisa tomando en cuenta la estética facial total. Que está constituida principalmente por los dientes, labios y encías. Y es importante que se encuentre en equilibrio con el resto de los elementos de tu rostro para lograr una mejor apariencia.
De esta forma tendrás mucha más confianza, seguridad y una buena presencia. Además una bonita sonrisa es sinónimo de una boca saludable.
Tratamientos comunes en la odontología estética
- Blanqueamiento Dental
- Carillas Estéticas
- Restauraciones
- Cierre de Diastema y Corrección de Asimetrías Dentarias
- Sustitución de Amalgamas
- Reconstrucción de Fracturas
- Gingivectomía

La armonización orofacial está relacionada a un conjunto de procedimientos terapéuticos y estéticos que tienen por objetivo armonizar estética y funcionalmente la boca y la cara.
Lograr una sonrisa perfecta, no solamente se basa en un tratamiento odontológico convencional, la Armonización Orofacial viene a cumplir una tarea importante en este aspecto. Esta especialidad, permite crear la armonía total entre los rasgos faciales del paciente y la dentadura que tanto desea.
Armonizar el rostro consiste en los siguientes aspectos:
- Darle volumen al tejido adiposo que ha comenzado a ponerse flácido.
- Relajar los músculos hiperactivos del paciente con toxina botulínica. Además, beneficia en los problemas de bruxismo.
- Se puede restaurar la superficie cutánea, como consecuencia del envejecimiento, la piel puede verse afectada.

La ortodoncia se encarga de prevenir, diagnosticar y corregir cualquier posible alteración de la cavidad bucal. Y mantenerla dentro de un estado óptimo de salud y armonía. Unos dientes en mala posición son dientes difíciles de mantener limpios, por lo cual corren riesgos de pérdida precoz debido a caries y enfermedades periodontales. Los tratamientos de ortodoncia ofrecen al paciente la ventaja de proporcionar una boca sana, sonrisa agradable y dientes con larga vida.
Podemos clasificar la ortodoncia en tres grandes grupos.
- La ortodoncia interceptiva.
- La ortodoncia correctiva. Tanto con aparatos fijos como removibles.
- La ortodoncia invisible.

La implantología oral es una especialidad de la odontología que se ocupa de reemplazar los dientes perdidos por distintas causas, valiéndose de implantes dentales colocados en el hueso maxilar o mandibular. Estas prótesis, de diferentes tamaños y materiales, permiten la restitución de las funciones masticatorias, fonéticas y estéticas, recuperando la correcta estructura y salud bucal.
Un implante dental es básicamente un tornillo de titanio puro que, gracias a la biocompatibilidad lograda a través de un tratamiento especial al que ha sido sometido, tiene la facultad de integrarse perfectamente a los componentes óseos correspondientes. La aplicación se completa con un conector y corona.


